矯正治療はどこでやっても同じ!? 〜当院の矯正の特徴〜
こんにちは。
12月3日高槻に新規オープンしました歯医者、ゆいファミリー歯科・矯正歯科院長の佐々木善彦です。
ホームページおよびブログページをご覧いただき、誠にありがとうございます。
当院は、『−1歳から生涯通えるファミリー歯科』を目指しております!
そのために歯ならびが悪くなる原因を予防するための予防矯正や、口腔機能管理に取り組んでおり、歯医者デビューしたお子さんや、出産を控えているお母様やお父様に向けての情報発信を積極的に行っております。
今回のテーマは当院の矯正の特徴についてです。
当院の矯正治療の特徴
①見た目だけでなく、予防のための矯正治療
当院は治療方針を立てるにあたって、予防が最も重要であると考えております。
矯正によって見た目がきれいになるのはもちろんですが、それに伴い、歯磨きがしやすくなって歯周病や虫歯を予防できたり、噛み合わせが安定することで詰め物が取れたり歯が割れたりするをの防いだり、というような予防のための矯正治療を推奨しております。
矯正以外の治療分野も扱っておりますので、被せ物やインプラントを組み合わせた治療計画や、衛生士によるメインテナンスなど、総合的にお口の健康をサポートできるのが当院の強みであると考えております。

②日本小児口腔発達学会所属ならではの、全身の発育を考えた予防矯正
院長が日本小児口腔発達学会に所属しており、口腔機能支援士という資格を持っております。ただ歯ならびを治すのではなく、なぜ歯ならびが悪くなったのか?を深く追究し、お口周りの機能、全身の発育や健康に及ぼす影響を考えた矯正治療をご提案します。
具体的には、マウスピース矯正装置に加えて、口唇や舌などの口腔機能トレーニングを併用した予防のための矯正治療になります。

③歯ならび無料相談を実施、InstagramやLINEなど各種SNSでのフォロー体制
資料どりや診断のみで料金が発生してしまう医院もありますが、当院では矯正用の資料どりや診断までは無料で行うことができるのが特徴です(初診料やレントゲン代はかかります)
なぜ無料にしているかというと、実際に矯正治療していくかどうかは別として、まず自分の歯ならびやお子さんの歯並びについて、みなさんに興味を持って頂き、それが結果として予防歯科の普及につながれば良いなと考えているからです。
また各種SNSでの情報発信、治療前の相談、矯正治療中のフォローなども院長自らがLINE等で行なっております。

1期治療、2期治療の違いと料金
1期矯正
乳歯の期間の矯正になりまして、目的としては、生えている歯を並び変えるというよりは、歯が並ぶためのスペースを確保するために、顎の成長発育をサポートするというような矯正です。
既製の柔らかいマウスピースを各種使用するのと、口腔機能に対するトレーニングを併用するのが特徴です。
お子さんの歯ならびが悪くなる原因は、多くの場合、『お口ポカン』と『低位舌』です。この2つが改善されないまま治療を進めても、装置をうまく使えなかったり、歯並びが治ってもすぐに後戻りしたり、治療期間が長引いたりする恐れがあります。
当院では、発音や飲み込みの時の口周りの使い方も精査し、改善ポイントをお伝えするようにしています。

およそ1.5年〜2年程度
税込30万円(既製のマウスピース各種+自宅でのトレーニングキットやテキスト)
+アクティビティ(月1度5500円)
追加で拡大装置が必要な場合+10万円
追加でインビザラインファーストが必要な場合+20万円
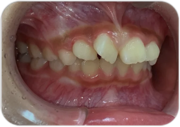
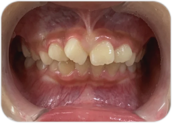
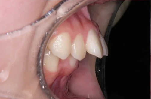
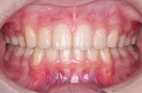
参考症例
治療前


治療後


| 相談内容(主訴) | 前歯のガタガタが気になる |
|---|---|
| 診断結果/行った治療内容 | 叢生/アクティビティ+インビザライン矯正 |
| 治療期間/回数 | 1.5年/18回 |
| 治療費用 | 50万円(マイオブレイス+インビザライン)+アクティビティ 月一5,500円 |
| 治療のリスク/副作用 | 原則の装着時間を守らないと効果が出ません/まれに顎関節に症状が出ることがあります |
2期矯正
目安12歳以降の大人の歯に生え変わった後の矯正です。
生えている歯に対して何かしらの装置(ブラケットワイヤーやマウスピース)で弱い力をかけることによって、歯の位置を適切な位置に移動させます。
およそ1.5年〜2年程度。
税込80万円(毎月の調整料や保定装置代も含まれています、軽度なケースは税込60万円)
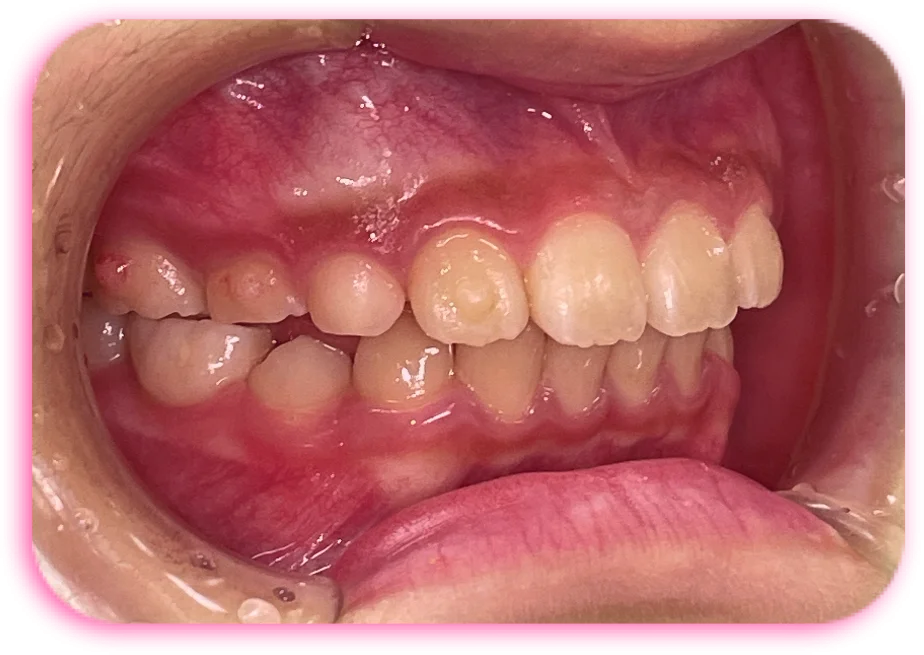
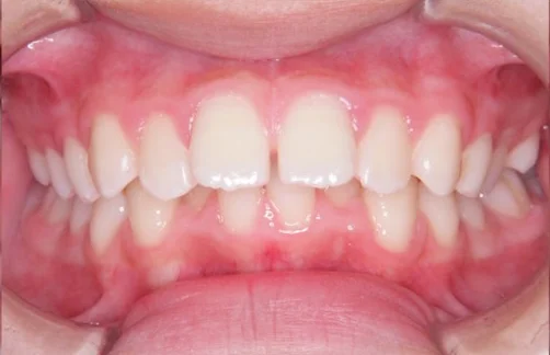
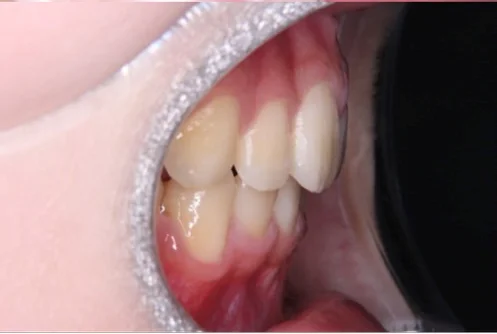
参考症例
治療前


治療後


| 相談内容(主訴) | 出っ歯が気になる |
|---|---|
| 診断結果/行った治療内容 | 上顎前突/インビザライン矯正 |
| 治療期間/回数 | 1.5年/18回 |
| 治療費用 | 80万円 |
| 治療のリスク/副作用 | 歯の移動に伴い歯肉退縮を起こすことがあります/顎関節に症状が出ることがあります |
※大人も子供も、歯ならびの資料どり、診断、ご相談までは当院は無料でおこなっております(初診料やレントゲン費用などは頂いております)
治療前の歯ならび相談、矯正治療中のフォローなどを公式LINEにて院長が返信する体制を整えていますので、どうぞ気軽にご相談頂ければと思います!
